Metamorfozy

Zobacz efekty wizualne leczenie ortodontycznego oraz stomatologicznego przeprowadzone w gabinecie stomatologicznym Dentifem w Kielcach. 

Efekty przedstawione na zdjęciach są przykładami rezultatów możliwych do osiągnięcia – u każdego pacjenta mogą się różnić w zależności od cech osobniczych, ogólnego stanu zdrowia i przestrzegania zaleceń specjalisty.

Przed Po

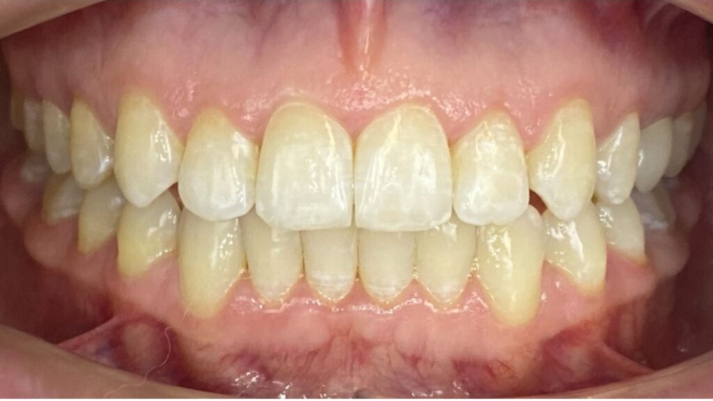
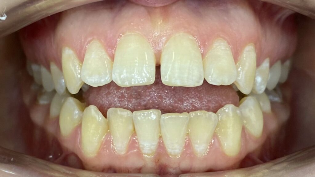
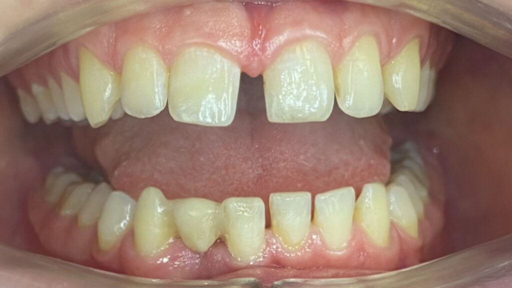
Pacjent nastoletni zgłosił się z problemem braku estetyki uśmiechu spowodowanym widocznymi szparami między zębami.

Zastosowano kompleksowe leczenie ortodontyczne w celu zamknięcia przestrzeni międzyzębowych i prawidłowego ustawienia zębów. Po zakończeniu leczenia ortodontycznego wykonano wybielanie zębów oraz estetyczną korektę ich kształtu, aby uzyskać harmonijny i naturalny efekt. Czas leczenia: 1,5 roku

Uzyskano równy, estetyczny uśmiech bez widocznych szpar między zębami. Poprawie uległ kształt i kolor zębów, co znacząco wpłynęło na wygląd uśmiechu.

Przed Po

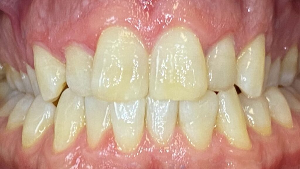
Pacjent dorosły zgłosił się z problemem braku estetyki uśmiechu wynikającym z przodozgryzu.

Przeprowadzono leczenie ortodontyczne mające na celu korektę wady zgryzu i poprawę ustawienia zębów. Następnie wykonano wybielanie zębów oraz estetyczną korektę ich kształtu, aby podkreślić końcowy efekt leczenia. Czas leczenia: 1,5 roku

Uzyskano prawidłowe relacje zgryzowe oraz wyraźną poprawę estetyki uśmiechu. Zęby stały się jaśniejsze, a ich kształt bardziej proporcjonalny.

Przed Po

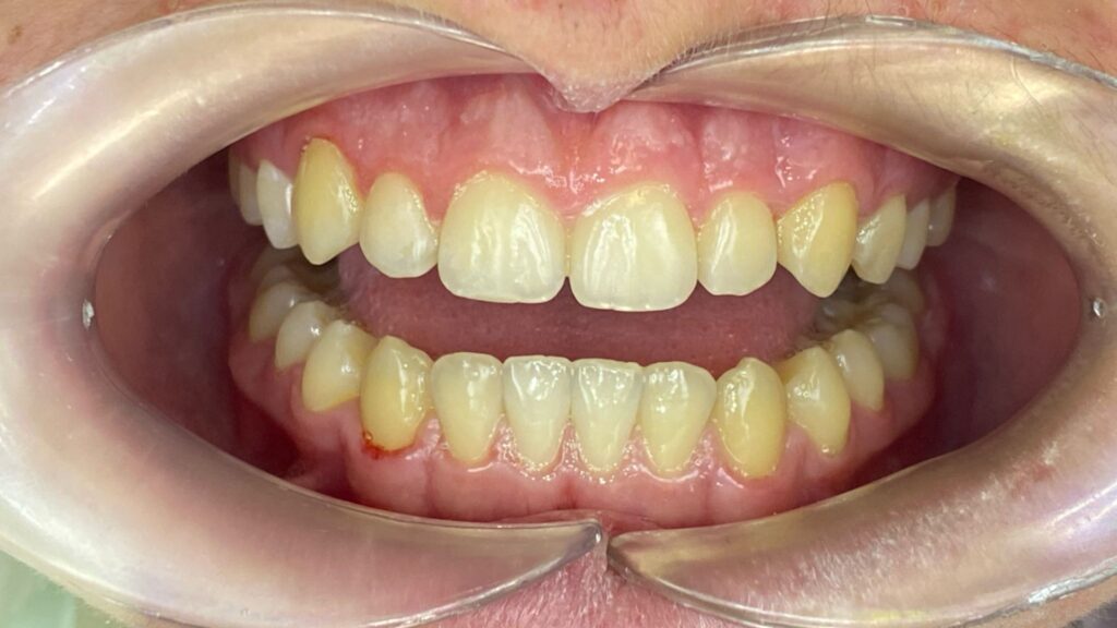
Pacjent dorosły zgłosił się z brakiem kontaktu między przednimi zębami górnymi i dolnymi (zgryz otwarty) oraz niezadowalającą estetyką uśmiechu.

Zastosowano leczenie ortodontyczne ukierunkowane na zamknięcie zgryzu otwartego i poprawę funkcji oraz estetyki uzębienia. Czas leczenia: 1,5 roku

Osiągnięto prawidłowy kontakt zębów przednich oraz poprawę estetyki uśmiechu. Zgryz stał się bardziej funkcjonalny i stabilny.

Przed Po

Pacjent nastoletni zgłosił się z problemem braku estetyki uśmiechu spowodowanym nieprawidłowym położeniem górnej „trójki” poza łukiem zębowym.

Przeprowadzono leczenie ortodontyczne, którego celem było wprowadzenie zęba do prawidłowego łuku oraz wyrównanie całego uzębienia. Czas leczenia: 1,5 roku

Ząb został prawidłowo ustawiony w łuku, a uśmiech stał się równy i estetyczny.

Przed Po

Pacjent dorosły zgłosił się z problemem braku estetyki uśmiechu, obecnością szpar między zębami oraz zgryzem głębokim.

Zastosowano leczenie ortodontyczne w celu korekty wady zgryzu i zamknięcia szpar. Po zakończeniu leczenia wykonano wybielanie zębów. Czas leczenia: 1,5 roku

Uzyskano poprawę relacji zgryzowych, zamknięcie przestrzeni między zębami oraz jaśniejszy, estetyczny uśmiech.

Przed Po

Pacjent dorosły zgłosił się z problemem braku estetyki uśmiechu spowodowanym stłoczeniem zębów.

Przeprowadzono leczenie ortodontyczne w celu wyrównania zębów. Następnie wykonano wybielanie zębów oraz estetyczną korektę ich kształtu, aby uzyskać spójny efekt końcowy. Czas leczenia: 1 rok

Zęby zostały wyrównane, uśmiech stał się jaśniejszy i bardziej harmonijny, a całość wygląda naturalnie i estetycznie..